| Emerald Dentists Dr Brad Stanley 07 4982 3880 | ![]() |
|
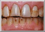
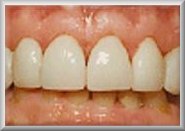
Teeth Whitening/VeneersWhitening of the teeth is performed for patients who desire a brighter smile. Tooth whitening can be performed to reduce discoloration and staining, or simply to provide you with whiter, brighter teeth.
What causes discoloration of the teeth?Teeth enamel discoloration can be caused by staining, aging, or chemical damage to teeth. Some of the more common causes of teeth discoloration are medications, coffee, tea or cigarettes. People who drink significant amounts of cola soft drinks can experience similar staining. Aside from staining, there are other factors that can affect the color of an individual's teeth. Genetics can play a role. Some people have naturally brighter enamel than others. Disease can also be a factor and certain medications can cause a discoloration of the teeth. If you suspect that there is an underlying medical cause for your teeth discoloration, be sure to inform your cosmetic dentist. Overview of Teeth WhiteningTeeth whitening is used to correct discoloration of the teeth by removing the brown and yellow staining. The term "teeth whitening" can refer to a number of techniques to improve the brightness of the patient's teeth. Among them are chemical whitening, mild acid whitening, abrasive teeth brightening and the newest technique, laser teeth whitening. Teeth BleachingTeeth bleaching is chemical process used to lighten the color of the patient's teeth. The cosmetic dentist creates a custom mouth tray for the patient. The custom tray is a critical component of the treatment. It ensures that the correct amount of whitening solution is used and that the patient's teeth are properly exposed to the whitening solution. The custom made mouth tray provides for a better fit than a one-size-fits-all mouth tray to help increase the margin of patient safety. The steps in the home teeth whitening regimen are fairly straightforward. The cosmetic dentist's office provides the patient with the materials and instructions and also answers questions the patient may have about the routine. Your dentist's office can also provide you with off-site supervision should you have any questions once you've begun. A home whitening session can last for two to three hours, during which time you will have the tray and solution in your mouth. Depending upon your needs and desired results, your dentist may instruct you to keep the tray in your mouth overnight. Typically, you will follow your home teeth whitening regimen for two to three weeks, after which time you will return to your cosmetic dentist for a follow up visit. How long does teeth whitening last?Teeth whitening is not a permanent procedure. Results can last for one to or more years, depending upon your personal habits. In most cases, the whitening procedure is very effective and the patient is pleased with the results. Porcelain VeneersThis section of our cosmetic dentistry information site provides you with some background into dental porcelain veneers, both composite veneers and porcelain veneers. Porcelain veneers, sometimes called tooth veneers, can be used to correct both color and shape problems and make for a great smile makeover. To begin reading about porcelain veneers, click the blue arrow below or use one of the subtopic links below the arrow.
Who is a candidate for Dental Porcelain Veneers?Veneers, porcelain or plastic, are placed over the front teeth to change color shape of the teeth. Veneers are ideal for teeth that are too small, too big, or have uneven surfaces. It is very common for people to have imperfect teeth, either oddly shaped teeth, chipped teeth, crooked teeth, teeth with small holes in them, or an inappropriate sized tooth or teeth that have an odd appearance. Veneers solve such irregularities and create a durable and pleasing smile. Overview of Tooth VeneersOften an alternative to crowns, veneers are very thin pieces of specially-shaped porcelain or plastic that are glued over the front of your teeth with little or no anesthesia needed. They are the cure for teeth that are severely discolored, chipped, have small holes or pits, misshapen or crooked, or for the correction of unwanted or uneven spaces. Unlike crowns, veneers won't require the dentist to remove much of the tooth itself in most cases. It is important to ask your cosmetic dentist how much tooth will be removed. In some cases more tooth will need to be removed, which may increase the risk of trauma to the tooth. Veneers are created from an impression taken in your cosmetic dentist's office. Your custom veneer is then glued directly onto your tooth. Typically costing less than crowns, veneers won't stain, making veneers a very popular solution for many people seeking that perfect smile. Strong and very durable, veneers last from ten to fifteen years, and come in colors that will brighten dark teeth without the worry of them changing color. How are Tooth Veneers attached to your Tooth?In your first appointment, it is important to initially discuss with your cosmetic dentist that you will want to "try in" your veneers with temporary cement that is the same color cement as will be used for the permanent attachment. During this "try-in" phase, be sure to look at your veneers in natural light in addition to the office light. Teeth are prepared for veneers by lightly buffing to allow for the small added thickness of the veneer. Veneers are thin like contact lenses, and will usually only need tooth reduction of 0.5mm to 1.0mm. If a drastic change is being made for the result you want, reduction may be 1.0mm to 2.0mm. A mold is taken of the teeth, from which the veneers are modeled after. Temporary veneers will be placed and worn until your permanent veneers are ready. While wearing the temporary veneers, advise your cosmetic dentist of any adjustments or changes you would like made, such as in shape or size. These changes will be translated into your permanent veneers, so good communication between you and your dentist is important in achieving your new smile. Your dentist places the veneers with water or glycerin on the teeth to verify their perfect fit and the shade or color. The color cannot be changed after the veneers are adhered to your teeth. The tooth is then cleansed with chemicals to achieve a durable bond. Once the glue is between the veneer and your tooth, a light beam is used to harden the glue/cement. The procedure for Lumineers is different than the above traditional porcelain veneers. Still two visits, but there is little to no preparation of the tooth and no need for temporary veneers. Types of Tooth Veneer ProceduresThere are two tooth veneers procedures available that correct discoloration of the teeth by removing the brown and yellow staining. While each work effectively, there are advantages and disadvantages to each procedure dependent upon your objectives and commitment to the processes. The type of procedures available should be discussed with your cosmetic dentist, and a they will recommend the most appropriate tooth veneers procedure for you. Composite Veneer Procedure:Composite (direct) veneers are usually performed in a single visit to your cosmetic dentist. The procedure is an application of a bond and enamel directly to the tooth's surface. Porcelain Veneer Procedure:Porcelain (indirect) veneers are a very thin porcelain material. Usually porcelain veneers require two visits and also require a dental laboratory to create the final tooth restoration piece. Lumineer Porcelain Veneer Procedure:Made of Cerinate porcelain, Lumineers are a new type of porcelain veneers. They are contact lens-thin, roughly .2 mm thick. Little to no tooth reduction in most cases is necessary with this type of veneer and anesthetics or numbing shots are not needed. How to Select the Color of Your VeneersHow to select a color for your veneers. When considering veneers a common question is how white the veneers should be. Usually, the answer is to whiten your natural teeth to either the level of whiteness you want or to the brightest they can be. Your cosmetic dentist will then have the veneers made to that color. Teeth are of course not monochromatic, so typically more than one color is used to create a very natural look. This color variation is critical in avoiding fake or artificial looking
teeth. It is the internal contrast of colors that help create vitality. The
internal play of light on the porcelain in the restoration helps to create this
vitality. Surface texture is also very important, and helps to break up light
reflections and make the crown or veneer look more natural. Commonly Asked Questions about Cosmetic DentistryThis area of About Cosmetic Dentistry was created to better answer the most common questions about cosmetic dentistry. How do I know what color my veneers, crowns, caps, bridge or implants be?Usually, the answer is to whiten your natural teeth to either the level of whiteness you want or to the brightest they can be. Your cosmetic dentist will then have the veneers made to that color. Teeth are of course not monochromatic, so typically more than one color is used to create a very natural look. This color variation is critical in avoiding fake or artificial looking teeth. It is the internal contrast of colors that help create vitality. The internal play of light on the porcelain in the restoration helps to create this vitality. Surface texture is also very important, and helps to break up light reflections and make the veneers, crowns, caps, bridges or implants look more natural. What causes dulling and discoloration of teeth?Discolorations can be caused by staining, aging, or chemical damage to teeth. Tooth dullness or staining is an indication that whitening should be considered. Smokers and those who drink coffee and/or tea on a regular basis accelerate the discoloration and require cleaning more often. This is among the most common reasons for teeth whitening What is Bonding typically used for?Bonding is a tooth-colored composite resin (similar to an enamel) that is bonded to the tooth surface to repair and/or change the color or shape of a tooth, then sculpted into shape, hardened, and polished. When teeth are chipped or slightly decayed, bonded composite resins may be the material of choice. Bonding also makes a great tooth colored filling for small cavities and broken or chipped surfaces. It can also be used to close spaces between teeth. Additionally, it is used to cover the entire outside surface of a tooth to change its color and shape. What can be done for missing teeth?Bridges are designed to replace missing teeth. Not only do they fill the unsightly spaces left by lost teeth, but they also help support the teeth adjacent to, and directly opposite, the missing teeth. Often a dentist will recommend an Implant to fill in the space as well. How can jagged teeth be corrected?In some instances, simple reshaping (contouring) of the front teeth, even without anesthesia, may produce a dramatic result to correct jagged, chipped or slightly uneven teeth. The cosmetic dentist simply utilizes sanding discs and creativity, to create a natural look with existing teeth. I was told that I have a weak biting surface, what can be done?Crowns are used when making cosmetic improvements to the teeth is the goal, and serve an additional purpose. A crown is placed over a tooth, replacing most of its enamel. It surrounds the tooth, giving it strength and providing a strong, durable biting surface. What are Porcelain and Ceramic Inlays?Porcelain inlays are considered durable, with a manufacturing process that enables a high degree of accuracy in placing the inlay. Porcelain inlays bind onto the tooth and increase the overall strength of the tooth. These inlays may cost more than other types of filling procedures. Ceramic inlays are used to repair somewhat damaged back teeth. They are made of very strong and durable industrial ceramics. Glued into place with special adhesives, they hold the damaged parts of the tooth together. These inlays are quiet durable, and look exactly like a tooth in every way. They are also significantly stronger than regular filling materials. Why is Orthodontics a specialty in dentistry?Orthodontics is the specialty of dentistry that addresses occlusal problems, or the mouth's ability to close with the teeth in the proper position. Orthodontics brings the teeth, jaw bones, and facial profile into proper alignment. An orthodontist is a dentist who has completed an additional two to three years of continuous study in an ADA approved, university affiliated graduate orthodontic program. I have Porcelain Laminate Veneers, why are they so special?Many times, the demands of cosmetic changes in the mouth are too great for simple bonding. This is when porcelain laminate veneers may be used. Porcelain veneers (sometimes referred to as laminates) can change an entire smile. Porcelain laminate veneers are quick, painless, and dramatic. They can change shape, color, size, and arrangement of teeth or any combination of these factors. They can be used as an alternative for orthodontic treatment. The best part about porcelain laminate veneers is that they can be placed in two visits. When are Porcelain Jackets recommended? When there is not enough tooth structure left, or the chewing demands in the mouth are too great for laminates, a stronger, more extensive restoration is needed. In this case, porcelain jacket crowns are used. Porcelain jackets are pure porcelain crowns placed on a fully prepared tooth. They are the most life-like of all full crown type restorations. What if Porcelain Jackets are not enough?When biting pressure is too great for porcelain jackets, teeth are loose due to periodontal disease, or gaps from missing teeth must be filled in, metal alloy must be placed under the porcelain for strength. This is the porcelain fused to metal crown technique. More tooth structure is removed to accommodate both metal and porcelain. Once an impression is taken, a metal coping is made on the prepared tooth. This is then covered with porcelain. Porcelain fused to metal crowns do not have the translucency of pure porcelain crowns. However, a talented ceramist with experience in custom staining can usually overcome this limitation. When individual back teeth are broken down but some good healthy tooth structure remains, porcelain fused to gold inlays are used. This is the strongest and longest lasting back teeth restoration procedure. Once the tooth is properly prepared, the technique is similar to the porcelain fused to metal crown technique. The benefit of this restoration is the advantage of gold underneath which supports the tooth during heavy biting, therefore protecting the tooth and the nerve. |
